
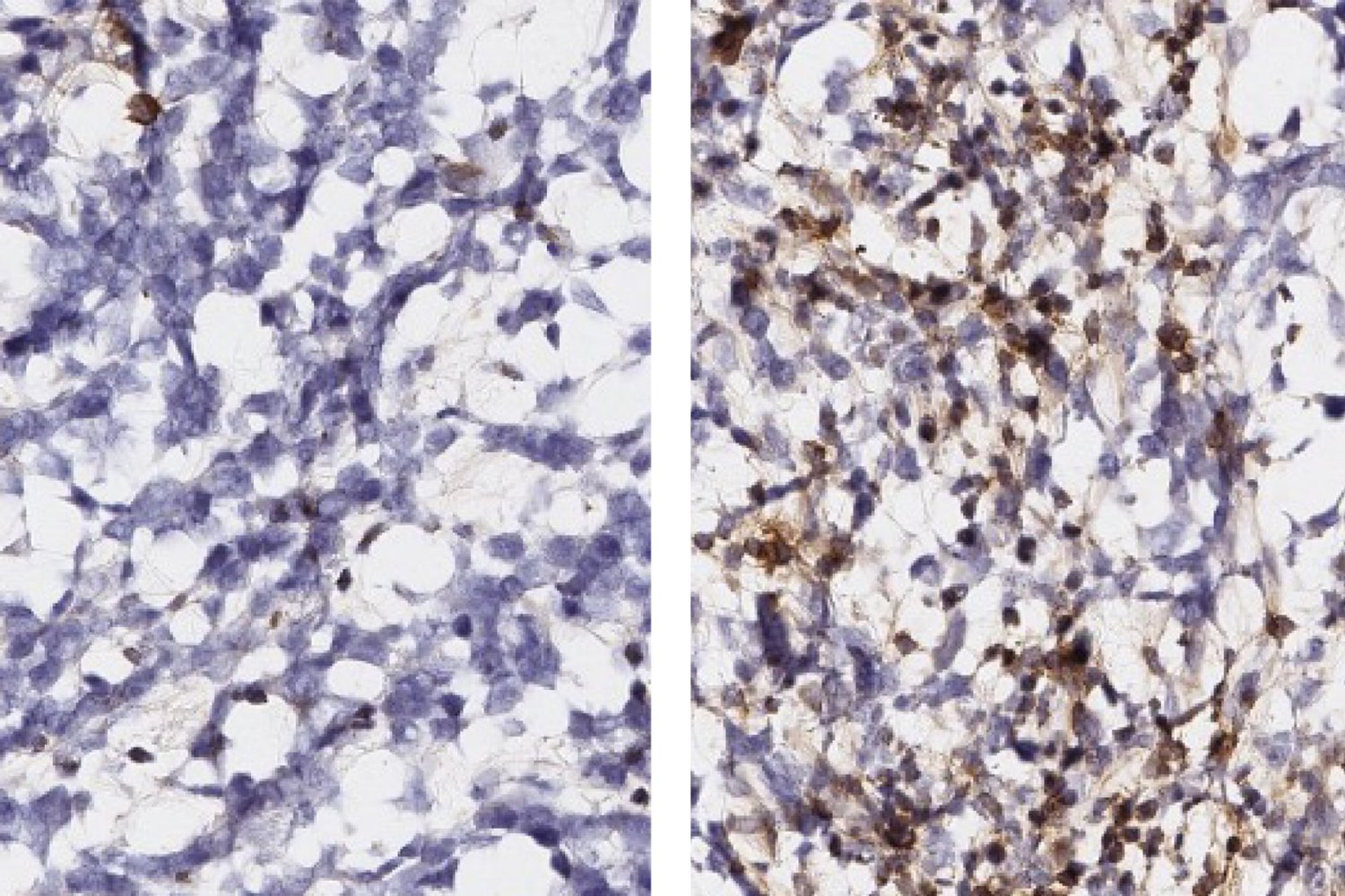
Glioblastoma is the most common form of brain cancer in adults, and its consequences are usually quick and fatal. After receiving standard-of-care treatment (surgery followed by radiation and chemotherapy), fewer than half of patients will survive longer than 15 months. Only 5 percent of patients survive longer than five years.Researchers have explored immune checkpoint inhibitors as an avenue for boosting glioblastoma survival rates. This type of immunotherapy, which has proven effective against a range of tumor types, turns off a molecular switch that prevents T cells from attacking cancer cells….


