Anticipating heart failure with machine learning

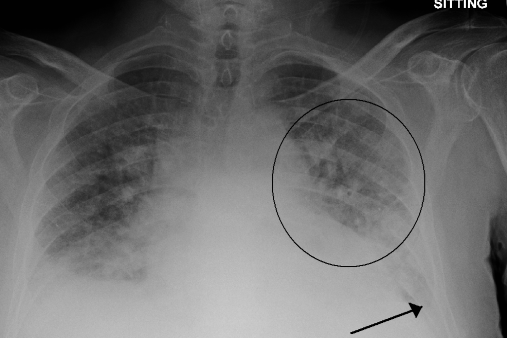
Every year, roughly one out of eight U.S. deaths is caused at least in part by heart failure. One of acute heart failure’s most common warning signs is excess fluid in the lungs, a condition known as “pulmonary edema.”  A patient’s exact level of excess fluid often dictates the doctor’s course of action, but making such determinations is difficult and requires clinicians to rely on subtle features in X-rays that sometimes lead to inconsistent diagnoses and treatment plans. To better handle that kind of nuance, a group led by researchers at…

This content is for Member members only.
Log In Register